海への憧れ
生まれは長崎ですが、物心ついた頃から宇都宮で暮らしました。長崎湾に潜って魚を突いたという父の話を聞くたびに、私の心の中に、見たこともない海が憧れとして住みつくようになっていきました。父の話は、子供にとってよほど強烈だったのでしょう。兄弟4人のうち3人までが長じて海に関係する仕事につきました。
子供の頃から生き物好きでしたね。家の近くの大きな松の木の枝ごとにスズメがたくさん巣をつくって、まるで小鳥のアパートでした。ヒナを捕ろうと、物干し竿を2つつないで巣を落とした後、何食わぬ顔で竿は元に戻しておいたのですが、次の日洗濯物が泥だらけになって母親にずいぶん叱られました。育てたスズメは外に出しましたが、すり鉢で餌を擦っていると、窓の外の物干し竿に止まって見ていて、擦り上がるとすーっとやってきて鉢の緑に止まり餌をついばむんです。湿地にはヒクイナが潜んでいて、ヒナのピーピー鳴く声を手がかりに捕まえると、真っ黒なビロードのような毛をしている。冷えてはかわいそうと、シャツの中にヒナを入れて小学校にいきました。お腹のまわりがヒナの糞でがさがさになって、これも母を嘆かせましたね。
ヘビがカエルを呑んでお腹が盛り上がってくるのをじっと見ているうちに、中がどうなっているかをどうしても知りたくなって切って中から取り出して観察したこともあります。私の子供の頃はみんなこんなことをして遊んだものでした。
こうして、大学の専攻は迷わず、水と生き物が結びつく、学科を選んだわけです。一生の仕事となった水産学――私にはもう一つ、産業面でも役立ちたいという思いがあったのでこういう選択をしました。

小学生時代。家の周りは林や畑だった。男ばかり4人兄弟の長男。

近くの池でフナ釣りもした。写真奥に見える松の木には、スズメがたくさん巣をつくっていた。

山にもよく登る。北大大学院時代。中央は当時同じ研究室だった長濱嘉孝博士(現岡崎国立共同研究機構基礎生物学研究所教授)。

アラスカでオショロコマを調査。ジュノーの近くのアドミラトリイ島で採集中、大きなオヒョウを釣った。
鱗(うろこ)実験
北海道大学の助手として研究者になった頃、水産の分野では魚の養殖研究が盛んになり始めており、その大きな課題は病気でした。病気の対策として抗生物質を多量に使用すると、耐性菌ができたり、薬が残ったまま食卓にあがるなどの問題が起き、悩んだものです。
そこで、薬に頼るのではなく、ワクチンを開発し免疫の力を使って対応できないかと考えました。魚の免疫研究は、まだほとんどやられていなかったので、まず研究の方法から考えなければなりません。臓器移植のときに起こる拒絶反応をヒントに、観察方法をいろいろ考えた末、鱗はどうだろうと思いつきました。これなら、手術が簡単です。1枚抜いて他の個体に入れるだけですから。しかも拒絶の様子を外側から連続的に実体顕微鏡で観察できます。この方法を金魚に試してみたところ、自分の鱗は例外なく活着し、他の金魚から移植した鱗は、赤い色がだんだん色褪せてついには消えてしまいました。同じ両親から生まれた兄弟間でもことごとく拒絶され、金魚にも免疫の能力があることが見事にわかりました。
ちょうどその頃、東京で行なわれた魚類学会で小林弘先生(当時日本女子大学教授)の雑種交配の講演を聞いたのです。フナの卵にドジョウの精子をかけて生まれてくる子供が、雑種にならずに完全なフナになるという報告でした。普通、卵に進入した精子は膨潤してオスの核となり、メスの核と合体して発生を開始します。ところが、小林先生がフナの卵に入った精子を追ったところ、それはメスの核とは融合せず、メスの核だけでの卵割を開始させたのです。卵の核だけで発生したのですから、染色体の数が半分になってしまいそうなものなのに、生まれてきたフナは母ブナと同数の染色体をもっていました。この謎はすぐ解けました。通常は排卵時に染色体が半減します。第一減数分裂のときに、半分の染色体を極体として捨てるからです。ところがこの場合、極体を捨てずにいたのです。
小林先生の話を聞きながら、私はソワソワしてきました。極体を捨てないのなら、母親のゲノム(遺伝子のセット)がそのまま子供に伝わるはずです。もしそうなら、子供は母親の遺伝的コピー、すなわちクローンになるのではないかと思いついたからです。もしそうなら、鱗移植をしても拒絶反応は起こらないはず…。
小野里博士らは、北海道内の24の河川および湖沼より採集した1534匹のフナがどのような生殖をしているかを調査した。北海道全体で約38.3%が両性発生をし、61.7%が雌性発生による生殖をしていることが確認された。

小野里博士がクローンブナがいることを最初に確認した大沼。駒ヶ岳の噴火によってできた美しい湖である。

フナの捕獲用につくった手製のトラップ
大沼のフナ
北海道大学水産学部は函館にあって、大学から30kmのところに、駒ヶ岳を背景にした大沼という美しい湖があります。東京から帰るとすぐに大沼に駆けつけ、沼野漁業者の網にかかった8匹のメスのフナをもらってきました。ちょうど産卵期の6月でした。メスのフナの膨らんだ腹を押して採卵し、その卵に金魚の精子をかけて孵化させました。生まれた子供は皆、金魚との合いの子にならず、母親そっくりだったのでうまくいきそうな予感がしました。稚魚が大きくなるのを待って、いよいよ鱗移植実験。結果は予想どおり。父子間で移植した鱗はお互いに拒絶されるのに、母子間、子供間の移植鱗は、自分の鱗と同じように受け入れられたのです。子供は、父親の影響をまったく受けない、母親の完全コピーであり、子供同士も遺伝的に均一、つまりクローンだったわけです。
クローンは植物や無脊椎動物では珍しくありません。でも、脊椎動物ともなると、まれです。そのまれなれいが何気なく眺めたり、釣ったりしていた、日本ではもっともポピュラーな魚の一つ、フナで見られたのですから驚きました。昔からフナにはメスが多いと言われたのは、自然界でも、メスの遺伝子だけで雌性発生をしてクローンが生まれているからに違いありません。そのことも鱗移植によって調べることができるはずです。
まず、もらってきた8匹の間で相互に鱗移植してみました。フナの腹部を真横に走る側線をX軸に、エラに添った線をY軸にとり、相互に植え込んだ鱗の反応を、対応する座標に落としていくのです。拒絶反応を示すかどうかは、だいたい3日~1週間でわかります。結果はあまりにも見事でした。3匹と2匹がそれぞれクローンだということを疑いようもなく示していたのです。驚きましたね。わずか8匹の中に同じ母親の子孫がいたのですから。鱗移植実験の威力すっかり自身をつけて、本格的な調査に取り組みました。
じつは、両性発生によって生殖するフナは2倍体(染色体の数が2セットある)なのですが、雌性発生するフナは、3倍体と4倍体であることが、小林先生によってすでに報告されていました。翌年私は、大沼湖沼群の一つ蓴採沼から大量のフナを集め、3倍体のフナを選びだし(血液中の血球の大きさでわかる)、鱗移植によってクローンの家系調査をしました。雌性発生するものが、フナ全体の6割、うち9割がたった5つのクローン家系で占められていました。
さらに、調査を北海道全域に広げてみると、どの湖でも両性発生より雌性発生のほうが多く、奥尻島のある沼など、両性発生しているフナはわずかに0.8%で残り99.2%が雌性発生をしており、しかもたった一つのクローンで占められていたのです。一つの湖の魚のほとんどが同じゲノムをもつなんて、予想もしませんでした。離れた地域間では共通のクローンは見られませんから、昔偶然出現したものが分布を広げたのではなく、今でもクローンをつくるフナが各地で生まれているとしか考えられません。


人工的にクローンをつくる
ワクチンづくりをしようと思って始めた研究が思いがけない方向へ展開してしまいました。研究ってこんなものかもしれません。もともと応用ということが頭にあったものですから、これを育種に使えないかと考えました。メス・オスの生み分け、親の遺伝形質をそのまま伝えること、遺伝的に均一な子供をつくること。そういった技術の確立は、育種の研究として重要です。自然界のフナの研究と並行して、経済価値の高い魚で雌性発生やクローン化を人為的に起こす研究を始めました。
雌性発生をするフナの卵に進入した精子は、活性化しません。普通の魚で人為的に同じ現象を起こすには、染色体を不活性化した精子をつくればよいのではないか。サケの精子にガンマ線を照射し、その量を10万レントゲンにすると、染色体は破壊されるけれど運動能力は残ることがわかりました。これを、サケの卵にかけたところ、卵核だけで発生を始めました。しかし、フナと違って染色体が1セットしかない半数体なので成魚にはなりません。
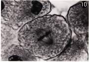
染色体を2セットにするにはどうしたらよいか。自然界のフナは、第一減数分裂をスキップすることで、半数体になることを回避していますが、サケが放卵するときには、すでに第一減数分裂をすませてしまっていますから、その時点で手を加えることはできません。そこで、染色体が複製され、2セットになる卵割直前に狙いをつけました。たまたま文献でカエルの卵に高圧をかけると細胞の分裂が押さえ込まれることを知り、応用してみました。650気圧の水圧を6分間かけると、細胞分裂装置である紡錐糸が壊され、卵割できなくなりました。(図10)。2セットになった染色体はそのまま1つの細胞に留められたのです。半数体のときは形成不全だった胚が、打って変わって元気な胚に育ちました。孵化したサケはすべて精子の遺伝的影響を受けないメスでした。メスだけつくることが可能になったのです。
人為的な雌性発生でできた子供同士は、同じ母親由来の遺伝子だけでできているのですが、遺伝的に同じクローンになりません。ここがちょっと面倒な話なのですが、母親の対をなす染色体(相同染色体)のうち、一方はおばあさん、他方はおじいさんからきていますので、子供がどちらを受け取るかで、いろいろな組み合わせが生じるからです。第一減数分裂をしないで、母親の染色体すべて受け取るフナとはここが違います。サケの染色体は36対なのでその組み合わせは2の36乗という数になります。これにさらに染色体の交叉(対になった染色体が部分的に入れ替えを起こすこと)が加わるから、その数は膨大です。
しかし、できた子供の相同染色体は、互いに相手のコピーなので、まったく同じものの対(ホモ接合体)になっています。次の世代がそのどちらを受け取ろうと一種類の組み合わせしかありません。したがって、2代にわたって雌性発生を繰り返せば、親の完全なコピーであるクローンが得られるのです。生殖過程での染色体のはたらきはかなり複雑です。それだけに、生殖や発生の仕組みがどんなによくできているかがわかっていただけると思います。
ホモ接合体だと、通常はまれにしか発現しない劣性の悪性遺伝子も発現するので、生存率が数%と低く、苦労しました。しかし、逆にこれを利用して、悪性遺伝子を確実に発現させて排除していき、望みの形質をもった魚をつくることも可能になるのです。





フナに学ぶ
その後も、北大、農林水産省養殖研究所を通じ、雌性発生のクローンづくりの技術を用いて魚の育種の研究を続けました。その中の一つは、3倍体にする技術の開発です。サクラマスを3倍体にすると、成熟しないので、生殖に使うべき栄養が成長に使われ、しかも産卵による死がないので、大きく、味のよい魚が簡単に手に入ります。一方、サケ・マスでは、卵のほうの染色体を壊して、精子の染色体から雄性発生させることに成功し、そこからオスだけの均一な集団をつくることも可能にしました。これは、ティラビアなどオスのほうが成長の速い魚の養殖に利用できます。
雄性発生を利用すると、自然界での絶滅の危機に瀕している種の保存も可能になります。保存しやすい精子だけ冷凍保存しておき、近縁種の卵を借りることによってその精子からオスもメスも発生させられますから。
このような新しい応用技術は、いつも自然そのものの観察と研究によって学びました。自然に手を加えることで、自然のより深い理解につながることにもなったと実感しています。自然の研究と人為的な研究を往き来しているなかで、さまざまな疑問がわいてきます。1セットの染色体ではなぜ発生が完成しないのか、交配によってどのようにして新しい種ができるのか。フナはどのように進化してきたのか。精子の不活性化と、減数分裂をしないという通常は起こり得ない二つのことがフナではなぜ同時に起きるのか…。解明したい疑問だらけです。
物心ついた頃から、自然界の生き物を身近なもの、仲間と感じてきました。ミクロの世界を顕微鏡で覗き、分子レベルの研究成果を知り、さらに、自然に手を加える研究に携わるようにあって、ますますその思いは強くなり、生命や生物について深く考えるようになりました。生殖一つとっても自然はあらゆることを試している。現存しているのはそのほんの一部でしょう。人為的試みは、みな自然がやってきたこと、やる可能性のあることの一部でしかないというのが実感です。私の研究はバイオテクノロジーと呼ばれ、画期的な技術だと称賛されたりしますが、たんに自然のもつ可能性を再現しているだけなのです。まだまだ自然から学ばなければならないことがたくさんあります。
手元には、いつもフナがいます。いろいろなことをフナから学んでいます。フナが私の教科書なのです。
雄性発生の場合は、反対に卵の染色体を壊し、精子の染色体だけを使う。X精子からできた子供はXXのメスになるが、Y精子からはYYという自然界にないオスができる。これらを交配させると、同じ遺伝子をもったオスのクローンができるのである。




