死の側から生を見る研究
アポトーシスという言葉は専門外の人も知っている言葉になってきました。プログラムされた死とも言われ、体ができてくる時あるいは新陳代謝時に死ぬことが求められる細胞があり、それらは自ら死んでいきます。最もわかりやすいのは、オタマジャクシのしっぽ。今では人間の体の中で毎日約100億個もの細胞がアポトーシスで死んでいることがわかり研究者もふえましたが、最初この現象に出会った時はふしぎなことがあるものだという思いでした。細胞を培養していて死なせたら失敗だとうなだれていたのに、今では死ぬと”やったあ”となるわけですから。まさかこういう研究をすることになるとは思いもしませんでした。

光学顕微鏡で捉えたアポトーシスの瞬間
のんびりした子供時代
生物学と出会ったのは大学一年の時、それまでとくに生きものに強い関心を持っていたわけでもないし、高校生の頃まで、あまり将来のことを深く考えもせず来たというのが正直なところです。
生れは金沢、昭和24年(1949年)ですからまだ第二次大戦の敗戦の影響が残っている、日本が貧しい頃です。父も戦地から帰ってきたばかりです。ただ、金沢は京都や奈良と共に空襲に会わなかったので、そういう意味では恵まれていたと言ってよいかもしれません。小学校の頃の写真を見ると、金沢大学の構内で遊んでいるものが多いのです。昔はのんびりしていたから大学の中で子どもたちがセミ捕りなんかしてたのです。普通の男の子並みに虫捕りはしましたし,小さい顕微鏡を買ってもらってドブの水を見たりもしましたが、一番関心があったのは機械、それも壊すのが面白かった。ラジオとか目覚ましとか。蓄音機を壊した時はひどく怒られました。
兼六中学校に進んで生徒会会長になったり、クラブはバトミントン部に入って県大会に行ったり、楽しく過しました。中学の時の最大の思い出は二年生の時の三八豪雪ですね。屋根の雪を下ろすから道が雪で一杯です。屋根の雪を下ろしたところと下ろしていないところですごい高低差ができます。吹雪でもあり、学校まで普段は20分で行けるのに2時間かかったんです。しかも、やっと着いたら校門に先生がいて「遅刻だ。立ってろ。」ですよ。今思い出すとひどいなあと思うけれど、当時はそんなものかと思ってました。時代ですね。教科では数学が好きでしたね。自分で考え、解けていく面白さがありますでしょ。覚える科目はあんまり好きじゃありませんでした。
とにかくのんびりしていたところへ、いよいよ高校受験の時が来ました。さてと頑張り始めた時に、先生が金沢大学付属高校に推せんしたら行くかと言ってくれたんです。市内の中学から無試験で入れる枠があったんです。もちろん行きますよ。それが秋のことでその後は自由。それはよかったのですが、高校の最初の試験で150人中百何十番という順位でショックでした。しかも金沢の中では選ばれた家庭の子弟が通っているわけですから、それまで近所の仲間と遊びまくっていた時と言葉が違うんです。これは勉強するしかないと思いました。後で海外へ出た時に、最初言葉がわからない間、仕事するっきゃないという感じになったんですけれど、それと同じ気持でしたね。

4歳頃、家の前の路地で。

小学校入学。

家族と。(中列右から2人目:本人)

中学生の頃。生徒会長を務めた。
生物学との出会い
昭和43年(1968年)東大に入るのですが、ここで現在につながるきっかけとなる『遺伝子の分子生物学』を教科書にした講義に出会います。丸山工作先生(元千葉大学学長。故人)が新しい生物学が生れたんだと熱心に語ってくれたのを覚えています。ところが、入学してすぐの6月、全学投票でストライキに入るというのです。今の大学からは想像もできないでしょう。学生運動が活発で、安保闘争(70年安保)と授業料値上げ反対などの運動で6月後半から授業はできない状態になりました。早い夏休みというわけで喜んで金沢へ帰りました。ところが、9月に東京へ戻ってきても授業は始まりません。週に1回づつクラス討論があって、だんだん洗脳され、10月になると全共闘の一員としてヘルメットをかぶって銀座をデモしていました。基本的にはノンポリですけれど。結局1969年1月の安田講堂事件になるわけです。丸一年大変貴重な経験をしました。ただ、そんな中でも本は読んでいました。丸山先生の影響は大きくて、『遺伝子の分子生物学』を一番よく読みましたね。今でもその本は手元にあり、読んだ記録として1968年10月と書いてあります。授業が再開した後、駒場での2年目はほとんど休みなしで授業でした。進学は文句なしに生物化学科を選び、名古屋大学から兼任でこられた岡崎令治先生のDNAの複製に関する集中講義にしびれました。いわゆるOkazaki FragmentOkazaki Fragment二本鎖DNAが半保存的に複製されるとき、複製点の近くで親のDNA鎖と相補的に新しく合成される短いDNA断片。岡崎令治(1968)らが初めて見出した。
[関連情報]
Scientist Library: 生命誌32号
『岡崎フラグメントと私』
岡崎恒子発見の話です。講義の後すぐにその論文をコピーしたのを覚えています。大学に入って方向づけが明確になり、分子の言葉で語れる生物学に惹かれていきました。卒業研究は宮澤辰雄先生(東京大学名誉教授)の研究室で生物物理を学びました。より生物的なものに憧れ、医科学研究所の上代淑人先生(東京大学名誉教授)の研究室の院生になることを希望したのです。「研究室は満杯」と言われたました。しかし、当時研究室にいらした岩崎健太郎先生が高校の後輩だからと推せんしてくれたのです。また推せんです。いざという時に運があるようです。
与えられたテーマは「リボソーム上でペプチド鎖を延長する因子(Elongation Factor、EF−1)のブタの肝臓からの精製」でした。これはアメリカでの研究の追試だったんですが、まったくうまくいきません。ていねいに見て行ったら精製の時に用いる硫安を除くとEF−1の酵素活性が失活することがわかり、25%のグリセロールで安定化しながら精製したらうまく行ったんです。ドロドロの粘度の高いバッファーを使うわけですから、普通1日で終るクロマトに1週間かかる。しかもクロマトの装置は低温室の中です。当時のフラクションコレクターはよく壊れるので、30分おきに見に行くんです。2晩ほど徹夜です。苦労の結果きれいなデータが出た時は嬉しかったですね。しかもアメリカからの報告のものとは分子量が全く違い、こちらの方がはるかに妥当な分子でした。夜中に地下の測定室のシンチレーションカウンターの前で踊りました。修士2年。これで研究って面白いと思い、以来はまっています。誰かの論文が出たからといってそれで終りではない。自分で考え、仕事をすることでよい答が出せるという体験は貴重でした。
毎日、先生や先輩たちと討論し、教えられ、充実したよい研究室生活でした。最近、講座制がやり玉にあがっていますが、研究生活はまず徒弟奉公から始まります。かつてのこのよい雰囲気がなくなりつつあるのは非常に残念です。

東大理学部3号館の屋上で宮澤先生(前列右から2人目)と研究室の仲間と。 (中央:本人)


『遺伝子の分子生物学』

1975年の上代研究室。後列右から4人目が上代先生。前列左から3人目が岩崎先生。(中列左端:本人)

上代研で書き上げた博士論文。
インターフェロンをつくる
その頃、組換えDNA技術が開発されてcDNAクローニングの論文が発表されました。是非それを学びたいと思ったのですが、日本では誰もやっていません。上代先生に相談すると、先生の留学先のNew York大学 Ochoa研で一緒だったC. Weissmann 先生(スイス、チューリッヒ大学)を紹介して下さってそこへ行きました。すばらしい先生で、ここに留学できたことも運の一つですね。
研究室には谷口維紹さん(現東京大学教授)がおられ、RNAファージQβを用いて、RNAからDNAを作り、そのDNAを大腸菌に入れるとファージができるという系を開発されていました。ところが、ある日突然Weissmann先生がインターフェロン(IFN)インターフェロンウイルスの感染などに応答して細胞がつくる、抗ウイルス作用を持つタンパク質の総称。がん細胞の増殖を抑制する作用もあり、抗がん剤にも利用されている。を研究すると言い始めたんです。Ochoa研究室の仲間だったP. Lengyel(Yale大学)と学会で会い、組換え技術でインターフェロンが大量にできたらすごいという話が出たらしいんです。若い頃、一緒にいた仲間の中での情報交換や共同研究が新しい研究を生み出す大きな力になるというよい例です。
最初は谷口さんが始められたのですが、彼は1978年末に帰国され、後は私が引き受けました。白血球にセンダイウイルスを感染させてインターフェロンをつくらせ、その白血球からcDNAライブラリーを作り、インターフェロンの遺伝子を探す作業です。今では、特定の遺伝子を探す方法論が確立していますし、情報がたくさんありますが、当時はそんなもの何もありません。まず、センダイウイルスを感染させたヒト白血球をヘルシンキの研究室から送ってもらい、そこからメッセンジャーRNAを調製し、それをアフリカツメガエルの卵母細胞に注射し、その培養液をヘルシンキに送ってインターフェロン活性を測定してもらいました。結局、結果が出るまでに10日はかかるわけです。このようにしてインターフェロン活性があるとされたmRNAからcDNAを作製し、大腸菌に入れるのですけれど、その作業はP3P3実験室の安全基準の一つで、病原体も扱うことができる。施設でやらなければなりません。そこで、P3のあるミュンヘンのマックス・プランク研究所へ行きました。そこのP3施設では、研究室内のフットペダルを30分おきに踏まないと、お前は死んでいると判断されて、ホルマリンのシャワーが降ってくるぞって脅されました。当時は組換えDNA技術がそれほど危険視されていたんですね。今から30年前のこと、若い人には信じてもらえないでしょうね。
こうしてcDNAを入れた大腸菌をチューリッヒに持ち帰って20,000個のクローンからIFN cDNAクローンを探し始めました。ハイブリッド選択法と呼ばれた方法です。2万個のクローンを500個づつ40個のグループに分けます。それぞれのグループからプラスミドDNAを調製、これをフィルターに固定した後、センダイウィルスで処理した白血球からのmRNAとハイブリダイズ、ハイブリッドを形成したmRNAを回収してカエルの卵母細胞に注入、卵母細胞がインターフェロンを産生しているかどうかバイオアッセイします。気の遠くなるような検定操作です。8ヶ月後、陽性のクローンが見つかったのですが、これと同じようなクローンが100個に1個ぐらいありました。インターフェロンは微量しかないので数万個のクローンに1つくらいのはずだと思っていたので、Weissmann先生は、「アッセイが動いていない」と怒るんです。こっちは、どこにも悪いところはないはずだと思っているわけです。そこで、大腸菌から抽出液を作って調べることになりました。Weissmann先生はクリスマス休暇でダボスにスキーに行ってしまいました。こっちは研究室に残って、インターフェロンの活性を調べると、いくつかの大腸菌のクローンに、インターフェロン活性があったんです。1979年12月24日のことです。ダボスのWeissmann先生に電話で「大腸菌がヒトのインターフェロンを作っている!」と伝えると、彼はとんで帰ってきました。そして、1980年1月3日にマイアミでの会議に出かけ、その旅行中にタイプライターを買って論文を仕上げてしまいました。しかもその間、ボストンで講演と記者会見し、New York Timesの一面に紹介されたんです。論文は「Nature」に載り、「TIME」や「LIFE」という雑誌でも紹介されました。インターフェロンには抗がん作用があるとされていましたから、患者さんから手紙や電話が殺到。この時先生は、「これが薬として使えるようになるまでにはまだ何年もかかる」とていねいに答えていました。これも大事なことと学びましたね。
2年もたたない間にインターフェロンの大腸菌での大量生産法を確立し、サルでの実験、臨床試験にまで進みました。実は、臨床試験のためにインターフェロンを送り出す前日、Weissmann先生は自分に注射し、明日の朝までここで倒れていたら出荷を止めろとおっしゃったんです。この自信と責任感、すばらしいと思いました。実を言うと、彼、その後ダウンタウンでのパーティに出かけていき、そこで倒れたのです。それまで一日も休んだことのない先生が3日間出て来られませんでした。風邪引いた時、悪寒がしたり腰が痛くなるのは、インターフェロンの作用ですから、そういう副作用はあるんです。それを逆に活用する薬なのですね。それにしてもすごい体験でした。

留学先の先輩の谷口さんと。

スイスのアイガーにて。(中央:本人)

ボストン、ハーバード大学で講演するWeissmann先生。

TIMEとLIFEの表紙を飾った。

『LIFE』にWeissmann先生とともに掲載された。
「ホームランを狙え」
4年の留学を終えて、1982年、助手として上代研へ帰り遺伝子工学の研究室を作る準備をしました。助手の義務として入学試験の監督に行った時、昼食が一緒だった浅野茂隆さん(現早稲田大学特任教授)が「がんの患者で白血球が増える患者がいる。そのがん細胞をヌードマウスに植えると白血球がふえた」と話してくれました。そこで、この系で白血球増殖因子(CSF)の共同研究をしようと考えました。インターフェロンの体験を生かそうと思ったのです。ところが、お金はないし、研究室の設備は違うし、手伝ってくれるテクニシャンもいない。500ccのびんがないので医科研病院のゴミ捨て場にある点滴びんを拾ってきて滅菌して使いました。思うように仕事が進まずイライラしていました。その年、京都の学会で中西重忠先生(現大阪バイオサイエンス研究所所長)に愚痴りました。すると、「インターフェロンはWeissmann先生の仕事だ。いい気になるな。」と叱られました。1985年にG-CSFのcDNAが単離できました。叱ってもらったおかげで仕事に自信を持てるようになったわけでありがたいことです。
そんな中、ある日早石修先生(現大阪バイオサイエンス研究所理事長、京都大学名誉教授)から、今から創る大阪バイオサイエンス研究所に興味がないかという話がありました。それまで面識がなく、先生の偉さもよくわかっていなかったので、先生が東京出張の時宿泊していらっしゃるホテルへヘルメットを被ってバイクに乗って行ったりしました。新しい研究所の建物の話をされても面白くない、でも先生のプロスタグランジンプロスタグランジン
五員環を共通の基本構造に持つ一群の不飽和脂肪酸。早石修氏によって、プロスタグランジン(PG)D2とPGE2が睡眠を制御するメカニズムが明らかにされた。の話になるとこちらも身を乗り出しました。情熱を感じましたし、面白かった。研究部の部長だって言われて非常に驚きました。そして、先生から研究所では何をやってもよいと言ってもらいました。「ヒットを打つ必要はない。ホームランを狙え!」と。これが大きな転換点です。
大阪バイオサイエンス研究所、当時は実績がないわけで、科研費を申請しても通りません。井川洋二(現東京医科歯科大学名誉教授)先生や村松正實先生(現東京大学名誉教授)などが科技庁の研究班や文部省の特定研究の班に入れてくれたのはありがたかったです。研究費も必要ですし、いろいろな人から教えてもらう事ができました。

G-CSFの研究での日経BP賞の受賞式。(右端:本人)

Scientist Library:
季刊 生命誌 53号
『新しい方法の導入で発見を』
中西重忠

Scientist Library:
季刊 生命誌 28号
『運・鈍・根 酸素添加酵素と睡眠』
早石 修

OBI開所。第一研究部のメンバーと。(前列中央:本人)
プログラムされた細胞死
実はそのちょっと前に米原伸さん(東京都臨床医学総合研究所・現京都大学)とインターフェロンの研究を始めていました。米原さんがインターフェロンのはたらきを調べるためにインターフェロン受容体に対するモノクローナル抗体を作ったのです。この抗体の存在下でウィルスを感染させるとインターフェロンははたらかず、細胞は死ぬだろうと考えてその実験をしました。その時コントロール実験として、インターフェロンもウィルスも加えず抗体だけをはたらかせたら、それで細胞が死んじゃったんですよ。抗体だけで細胞が死ぬなんて、予想もしない事が起き、わけがわかりません。しかし事実は事実です。この抗体は抗原を認識するはずです。米原さんはその抗原をFasと命名したんです。
そこで、大阪バイオサイエンス研究所(OBI)での仕事として、米原さんとFas抗原に関する共同研究を始めました。わけのわからないものを扱うわけで、大学ではあまりにもリスキーでできない研究です。OBIのよさを生かし、持田製薬から人を派遣してもらって始めました。結局は、アメリカから帰国した伊藤直人君がエクスプレッション・クローニング法エクスプレッション・クローニング法遺伝子を細胞に導入、発現させて、細胞応答を指標に遺伝子を選別する方法。発現クローニング法。でFasのcDNAを単離し、それがTNF受容体ファミリーのメンバーであることを示しました。Fasを発現していない細胞にこの遺伝子を導入して、Fasの抗体を作用させると、細胞は死滅しました。確かに抗体で死ぬんです。調べてみると、細胞の死に方が面白い。細胞死にはネクローシス(壊死)という死に方の他に、あらかじめプログラムされた死があることは知られており1972年にアポトーシスと命名されていました。細胞が壊れることなく、食細胞にとり込まれるとか、アポトーシス時に独特のDNA分解が起きるという現象が知られていたのです。しかし、そのメカニズムはまったくわかっていませんでした。
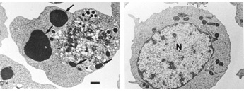
そこでFasを導入した細胞が死ぬ時の様子を調べると、アポトーシスの証拠とされている独特のDNAの壊れ方をしていることがわかりました。Fasは細胞にアポトーシスのシグナルを伝える受容体であると結論して、「CELL」に論文を送りました。まだインターネットはありませんから大阪中央郵便局から送って、反応を待つわけです。今でこそアポトーシスは生物研究の中で重要なトピックスになっていますけれど、当時はこれがどう展開するかわからないという状態の時です。1ヶ月ほどして、エアメールで「大変面白い論文だ」というコメントが返ってきた時は嬉しかったですね。ただ、アポトーシスは電子顕微鏡での確認が必要とされており、それを求められました。電子顕微鏡なんて扱ったこともないのでいろいろな人に電話をかけ、都の臨床研や大阪市の保健センターで撮影してくれることになったんです。きれいな像がとれ、1991年の論文発表になりました。

アポトーシスの電子顕微鏡写真 ヒトのFasを発現させたマウスの細胞に抗Fas抗体を作用させて3時間培養し た。細胞膜の湾曲、急激な核の濃縮と断片化(矢印)が起きている(左)。右 は対照実験で何も起きていない細胞。

1990年OBIの第一研究部のメンバーと。(前列中央:本人)
Death Tour
遺伝子を単離したらその遺伝子の染色体上の場所を決めるのが当時のお作法でした。マウスFas遺伝子の染色体の場所を決めると、とても興味深いことがわかったのです。その後次々と興奮することが起きる始まりです。
マウスFasは、染色体19番に存在し、これは日本チームがマップしたlpr(Lymphoproliferation)という変異の近くでした。米国ジャクソン研究所で10年ほど前からリンパ球が異常増殖してリンパ節や脾臓が肥大するマウスが飼育されていました。それがlprマウス。一種の自己免疫疾患です。細胞を殺す受容体であるFasがおかしかったらリンパ球の異常増殖もあり得ると考えて東大医科研にlprマウスをもらいに行きました。新幹線で連れてきたんです。ちょっと臭うのを気にしながら。早速確かめてみたら予想どおりlprマウスのFas遺伝子に変異がありました。病気につながっていることがわかって感激しました。
ついで、マウスのFasに対するモノクローナル抗体を作ってその発現細胞を決め、生理作用を調べようということになりました。Fasを発現するマウスの細胞でハムスターを免疫し、できたハイブリドーマハイブリドーマ2種類の細胞を人工的に融合させて作った腫瘍性をもつ雑種細胞。をマウスの腹腔に注射して抗体を増やそうとしたのです。小笠原準君がその実験をやっていたのですけれど、ハイブリドーマをヌードマウスの腹腔に接種したところ、次の日にマウスは死んでいました。小笠原君は失敗してすみませんと謝るんですけれど何も悪いことはしていません。ハイブリドーマをin vitroで培養、抗体を精製して腹腔に注射したところ、それでもマウスは死んでしまいました。そこで、解剖してみました。開いてみて二人で、心臓もあるね、肝臓もあるね、何が悪いんだろうと言っていると、東大の医科研病院からOBIに来ていたお医者さん、白藤尚毅先生(現帝京大学教授)が「肝臓が真っ赤ですよ」。やっぱり専門家です。近くに異分野の人がいる状況を作るのは大切です。Fasの活性化によるアポトーシスが、肝炎を起こし個体の死をもたらしたのです。アポトーシスは大変危険な過程だという認識をもちました。
lprや肝炎とつながった途端、自己免疫疾患を研究している人達の間でFasに対する関心が急速に広がりました。この面倒な疾患の原因がアポトーシスで説明できるかもしれないと考えた研究者がふえたわけです。一方、線虫などの発生過程、癌にもアポトーシスが重要であることがわかってきて、93年から94年は毎月のように世界のどこかで細胞死の学会がありました。R. Horvitz, S. Korsmeyerなどのコアメンバーはいつも一緒です。彼らと、Death Tour(死の興業)と言いながら出席していました。
FasはTNF受容体ファミリーの一員です。Fasに結合するリガンドがあるはずです。でもどんな細胞がリガンドを発現しているかわからない。模索していたところ、忘れもしません1992年12月15日にマルセイユのPierre Golstein博士からFaxが届きました。何の面識もない人です。「細胞傷害性T細胞のクローンを樹立したら、この細胞はFasを発現している胸腺細胞は殺すが、lprマウスからの細胞は殺さない。もしかしたらFasリガンドを用いて標的細胞にアポトーシスをひき起こしているのかもしれない。興味があるなら細胞を送る」と書いてありました。とび上りました。すぐ返事をして細胞を大阪に送ってもらい、須田貴司君(現金沢大学教授)と高橋智裕君がFasリガンドcDNAをクローニング、この分子がTNFαに類似した分子であることを示しました。「CELL」に論文を送ったら、「とても重要な論文だ。すぐに出そう」という返事が来たんです。ちょうどGolsteinとCold Spring Harborの会合で初めて会っていた時にその返事が届き、固い握手を交わしました。いい話でしょ。研究者として素晴らしい体験をしました。

学会のパーティーで。中央は岸本忠三さん(現大阪大学大学院教授)

上代先生の退官パーティーで。ノーベル賞受賞者が勢揃い。右からP. Berg、A. Kornberg、S. Ochoa(撮影:本人)

ラッカーサーニュ賞の受賞式でGolstein博士と。
Golstein博士からのFAX

OBIの野球大会で。前列左端は須田君、その隣が本人。後列右は高橋君。
逆から攻める
OBIはとても研究のやりやすい場所でしたけれど、どうも僕は10年ほどすると動きたくなる性質なのかな。1996年大阪大学からの誘いで動きました。そこで始めたのがDNaseの仕事です。アポトーシスの時にはDNAがヌクレオソームの単位、つまり180塩基対にまで切断されるのです。これを切るDNA分解酵素を探そうと誰もが考えますよね。ところがこの酵素、不安定でなかなか精製できないんです。僕のところでもやってみたけれどダメでした。その時、新しくやってきた大学院生、坂平君が、HTLV−1に感染した細胞はアポトーシスを起こさない、そこに阻害因子があるはずでそれを探したいと言うんです。やってみたらDNAの分解を阻害する因子が見つかり、そちらはとても安定で短時間に精製できました。逆の発想をすることって大事ですよね。これを用いてDNase(CAD, caspase-activated DNase)も捉えることができました。CADと阻害因子(ICAD, inhibitor of CAD)とは複合体を作っていたのです。
阻害因子に眼をつけたのはとても重要でした。DNA分解酵素は通常ははたらいては困るわけですからこの酵素は合成されただけでは機能する立体構造をとれないんです。阻害因子と結合して初めて正常に折りたたまれ、リボソームから離れていきます。アポトーシスが起きると、その刺激でタンパク分解酵素(caspase)が活性化されて阻害因子を分解し、自由になったDNA分解酵素がはたらき出すのです。なんとも巧妙な仕組みでしょ。生きものを見ているとこういうところでなるほどと思わされますね。しかもこのDNA分解酵素は2個の分子がハサミのような形を作っており、DNA分解の活性をもつ部位はハサミの一番奥にあるんです。だから活性部位はヌクレオソームに巻きついているDNAには届かずヌクレオソームとヌクレオソームの間にあるスペーサー領域のDNAだけを切断します。DNAがヌクレオソーム単位で切れることはこれで説明できます。この仕事は97年の暮れに「Nature」に送ったら98年の1月1日号に載せると言ってきました。実はこの論文、1998年に発表された論文の中で引用回数世界一という記録を作ったのですが、1月1日号ということもあったかもしれません。Fasリガンドに始まり、DNAの分解につながるシグナル伝達は「Immunobiology」という教科書の表紙にも取り上げられました。物質のはたらきを基本に、生命現象を理解したいと思ってきたので、免疫という生きものらしさを示す典型とも言える分野の教科書の表紙になる仕事ができたことは、ある達成感をもたらしてくれました。

ベーリング北里賞、受賞パーティー。
次々と出る問い
もちろんサイエンスは突きつめるほどにわからない問題が出てくるところが面白いのであって、謎ときの喜び、達成感などは一瞬のことです。
実際は、わからない問題はすぐ出てきました。アポトーシスで活性化されるDNA分解酵素が生体内でどのようにはたらいているかを知るためにノックアウトマウスを作製し、in vitroでこの酵素を欠損した細胞にアポトーシスを誘導してもDNAは壊れませんでした。予想通りです。この酵素こそアポトーシスの時にはたらくDNA分解酵素と証明できたわけです。ところが、ところがです。このマウスの体内ではアポトーシス細胞のDNAが分解されているし、マウスには何の異常もないのです。狐につままれた感じです。しかし事実を見るのが科学ですから、ていねいに観察したところ、アポトーシス細胞はマクロファージに食べられていました。死細胞のDNAはマクロファージのリソソームに存在する他のDNA分解酵素、DNase Ⅱで分解されていたのです。そこで今度はDNase Ⅱのノックアウトマウスをつくると、これは胎生致死、生まれてくることもできません。とても大事な酵素ということです。調べると、マクロファージの中にアポトーシス細胞や赤芽球由来のDNAがたまり、これがさまざまな病気の原因になっていることもわかりました。次はマクロファージはアポトーシス細胞の何を識別して食べているのか・・・こうやって問いが次々出て来るんです。科学の面白さを実感する一方で、生きものについては知らないことだらけだと実感する時でもありますね。
この問いもこれまでと同じような方法で追いかけました。まず、マクロファージの表面タンパク質に対する抗体のライブラリーをつくって、アポトーシス細胞の貪食をおさえる抗体を探しだします。そしてこの抗体の抗原を同定する。その結果、アポトーシス細胞が出している”Eat-me(私を食べて)”シグナルであるホスファチジルセリンを認識する分子MFG-E8とTime4を見出しました。次にそれを欠いているノックアウトマウスを作り、その分子の生体内での機能を調べています。「Eat-meシグナル」は欧米の研究者仲間が「ふしぎな国のアリス」のEat-meケーキから発想してつけた名前ですが、いい命名でしょ。日本人はこういうところが苦手で学ばなくちゃいけないと思いますね。名前って大事ですから。

学士院賞受賞式で。
「なぜだろう」という気持
こうして生きているとはどういうことかという問いをアポトーシスという死の側から考える分野が確立できたと思っています。なかでもDNAの分解が印象深いですね。細胞は死ぬ訳ですから、DNAが壊れなくてもよいとも言えるのにそれではダメなんですね。DNAは遺伝情報を荷う重要な分子だけれど、必要な時に分解されることも重要だというところが面白い。また、細胞死は驚くほど病気に関わっていることがわかってきて驚いています。自分の研究が人間の病気に関わるようになるとは最初は思ってもいませんでしたから。でもこうして役に立つことにつながるのは感激です。
若い人から、自分のやりたいことがわからないという悩みを聞かされると、自分のこれまでを思い出します。高校の時は何もわからなかったし、大学へ入って丸山工作先生の講義をうけることになったのも偶然です。先生を通じてワトソンの「遺伝子の分子生物学」に出会ったことがきっかけでこの道に入りました。その後もこれまでお話してきたようにいろいろな出会いがありました。ただ粘り強さはあったと自分でも思っています。それを支えるのは”なぜだろう”という気持。改めて言葉にしてみるとあたりまえのことですが、このあたりまえを続けると、時々、やったと思える成果が出るんですよね。科学者は特別な人種に見られがちだけれど、時々出会えるこの喜びを楽しみにコツコツ粘り強くやる人だと思います。Fasに出会い、アポトーシスという新しい世界に踏み込んだ時は、それなあに?と言われていましたが、今や医学の人たちが関心を持つ大きな分野になりました。大変、幸運だったと思っています。


