人に近い学問を
東京生まれの東京育ちです。さぞかし都会っ子だと思われるかもしれませんが、大都会でありながら自然に恵まれているのが東京の特徴です。近所の靖国神社や千鳥ヶ淵、皇居外苑の森を、朝から晩まで泥んこになって駆け回る普通の子どもでした。幼い頃から一貫しているのは、何かを強制されたり押し付けられたりするのが大嫌いということです。幼稚園の入園初日、先生に「ご挨拶しましょうね」と無理やり頭を押し下げられたことに腹を立てて帰ってしまい、以来一日も登園せず。今でこそ、「これが人生初のストライキ」などと笑い話にしていますが、当時は両親も先生も随分心配したようです。
文章を読んだり書いたりするのが好きな文系志向で、小学校の高学年から中学生の頃にはガモフ全集、スタンダールやドストエフスキー、太宰治や堀辰雄を乱読していました。当時の夢は新聞記者。科学者の道は考えていませんでしたね。この頃「事件記者」というテレビドラマが大人気だった影響もあり、現場を取材し、真相を社会に発信する記者の姿に憧れたのです。
大学は文系の学部に進むつもりでしたが、高校に入ると生物の先生の影響で、理系科目にも興味をもちました。分類などの知識を暗記させるだけでなく、染色した細胞を顕微鏡で見せながら、その機能を詳しく教えてくれる面白い先生だったのです。そこで理系の中で最も文系的な学部はどこかと考え、浮かんだのが医学部でした。人の病をみることは、患者さんの生活環境や習慣など、一人一人の背負った歴史をみることでもある。医学は理系でありながら人文学のような側面があり、人と科学をつなぐ学問ではないか。そう漠然と考えていました。
そんな時、高校の職場見学の一環で、体育の先生がセツルメント病院に連れて行ってくれました。病院は土地が低く日当たりの悪い地区にあり、医師が消毒液のボンベを担いで家々を消毒して回っていたのです。その姿を見て、医者は「先生」として診察室でただ患者を待つものという、これまでの医療のイメージを覆されました。自ら社会に出て病気を防ごうとする医師たちに、自分が漠然と思い描いていた「人と科学をつなぐ」という夢がぴったり重なったのです。こうして医学部の受験を決意したのが高校2年生の年明けでした。大慌てで理科と数学を勉強し、浪人を覚悟で東大理3を受けると、たまたま好きでよく読んでいた『伊勢物語』が古典で出題される幸運もあり、無事に合格したのです。
東京生まれの東京育ち。小学校1年の頃、麹町の町内祭にて(本人:右)。
高校生の頃。文学少年である一方、スポーツ万能でもあった。
自由を求めて
入学して最初の2年は、教養の授業の合間に登山やテニスを楽しむという学生生活を謳歌しました。ところが、いよいよ4月から医学部へ進学という2年生の冬、上級生たちがストライキを起こしたのです。戦後の経済成長で豊かさが戻る一方、冷戦やベトナム戦争を背景に再び平和が揺らぎ始め、多くの若者が不安を抱えていた時代です。パリの五月革命やアメリカのベトナム反戦運動など、権力に抵抗する学生運動が世界中で巻き起こっていました。当時、日本の医学部のインターン制度は、研修医に生活の保障もせず無給で診療業務をさせるというもので、上級生はその改善を求めて立ち上がったのでした。しかし医局長との交渉に臨んだ彼らを、教授会は「将来医師となる者が取るべき態度ではない」と退学処分にし、その際ろくに確認を取らなかったため、交渉の場にいなかった学生までが処分されたのです。若い講師の先生たちが旅行中の学生のアリバイを証明し、処分撤回を願い出たのに教授会は断固として応じなかったと、3月27日の朝日新聞で報じられました。この事実に愕然とし、憤りを覚えた僕は、同級生と話し合いストに突入しました。最近同級生の家から出てきた、謄写版刷りの当時のストライキ提案書を見ると、表題が「S提案」となっています。記憶が曖昧なのですが、同級生によると最初の呼びかけ人の一人の「S」は僕だったみたい。生来の性格もあり、医学部の権威主義に反抗せずにはいられなかったのでしょう。
スト中は皆で自主ゼミをして過ごしました。一部の教授と若手の先生たちが僕らの味方をしてくれました。『ホワイト生化学』を一緒に原書で読んでくれたり、戦後新たに生じてきた四日市ぜんそくや水俣病、薬害スモン、サリドマイド事件などの公害・薬害問題について勉強会を開いてくれたのはありがたかったですね。でも正直、ストが長引くにつれ授業や実習が受けられないことに焦りと渇望が募りました。ようやく大学本部と教授会が謝罪したのは1年半後。さまざまな制度が改正され、学生の意見を取り入れるための学生カリキュラム委員会も設置されました。授業が再開したときはホッとして、残りの期間は皆、本当に真剣に勉強しましたね。当時の同級生たちとは戦友としての得難い絆ができました。またこの時僕たちは大学に「フリークォーター」という制度を提案しました。1年のうちの3か月間、各自が希望する実習や研修を受けられるようにする制度で、スト中の自主ゼミの経験を生かしたものです。この制度は現在も続いており、学生の自主的な活動を保証するものとして、東大紛争の数少ないプラスの一つだったと思っています。
東大紛争から数十年後、当時の同級生の10名くらいが東大医学部の教授となり、私もたまたま医学部長を仰せつかり、共に大学を運営する側の立場を経験しました。学生時代は色々意見の違いがありましたが、当時の運動から芽生えた「学問の権威となるも、権力者とはならない」という気持は同じでしたね。最近の学生には自治会もなく、とても大人しいのにはびっくりしましたけれど。
東大の教養時代、教養学部のある駒場の居酒屋で。医学部は本郷キャンパスにあり、駒場キャンパスでの2年生までは、学生運動の影響もなく平和な学生生活だった。左端が本人、その右隣が寺本民生氏(現・帝京大学医学部教授)。
駒場時代からの仲良し5人組。今でも年に1回、お互いの健康を祝い、親睦を深めている。中央が本人、右端が寺本民生教授(帝京大学)。
患者のため、寝食忘れ
卒業後の専門分野を選ぶ際は随分迷いました。精神科医への憧れもありましたし、子どもが好きだから小児科もいいと思ったのですが、結局内科にしました。医学部では「迷ったら内科」と言われるくらいで、将来どの分野に進んでも内科なら無駄にはならないとされていましたからね。肺の疾患に興味をもち、東大病院や清瀬の結核療養所で研修医として活動を始めました。
診療を始めてすぐの頃、僕の判断ミスで患者さんが亡くなったことが忘れられません。それは肺がんの患者さんで、強い痛みを訴えていたので鎮痛剤としてインダシン座薬を処方しました。しかしこの薬には胃潰瘍という重大な副作用があったのです。息が苦しく、ただでさえ強いストレスを抱えている患者さんにこの薬を処方したことで胃潰瘍が進行し、当時は胃潰瘍の有効な治療法もありませんでしたから、最終的に胃壁が穿孔し、腹膜炎で亡くなってしまったのです。非ステロイド性の抗炎症薬は、アスピリンなど世界で最も処方される薬の一つで、後に研究テーマとする脂質分子が関わっています。脂質の生理作用の広さと、それ故の副作用の重大さを知った最初の経験で、このことは胸に刻んでおこうと今でも学生講義などで必ず話しています。
研修中は週に3−4日は病院に泊まり込んで診療を行いました。大学病院では通常、いちど退院した患者さんに会うことはないのですが、僕は患者さんのその後が気になって、こっそり会いに行くこともしましたね。文字通り寝食を忘れて患者さんに尽くしたのです。しかし肺の疾患は治療の難しいものが多く、呼吸ができず苦しむ患者さんを前に、手の施しようのないことがしばしばでした。例えば、肺の中に原因不明の繊維状の組織が生じ、肺が硬くなる「肺線維症」という疾患があります。若い人がこの病に侵され、だんだん息ができなくなっていく様子を見ているのはやりきれない思いでした。結局、「治る病気の場合は患者さんが自分の力で回復していくが、治らない病気は医者が何をしても治らないのではないか」。当時の医療レベルでは、一人の医師としても、大学病院という組織の医師としても限界を感じました。臨床を離れ、基礎医学を学ぶ決心をしたのがこの時です。病気の原因やしくみを根本から探る基礎研究に望みを託したのです。

研究の方向を探って
研究の受け入れ先を決めるにあたって、全く知らない土地でやり直そうと、関西の研究室に手紙を書きました。最新の生命科学を学べるところに入りたいと思い、京大医学部の早石修先生と大阪大の佐藤了先生の研究室にお手紙をし、先に返事を下さった早石先生の下で研究を始めました。東大呼吸器の北村諭先生にも応援して頂きました。
早石先生は日本に動的生化学を導入したお一人です。研究室のテーマは代謝学で、ある物質が体の中でどのような酵素の作用を受け、どう変化していくかという、代謝の道筋を追っていました。酵素を単離してその性質を明らかにし、さらにそれがどのように調節されているかを調べる研究は、当時の最先端です。「早石道場」と噂される通り、研究室には全国から若い俊英が集まって切磋琢磨していました。
最初の2年間はトリプトファンの代謝を研究し、IDOという酵素を単離しました。その後はプロスタグランジンの代謝の研究に移りました。1974年に早石先生が小野薬品と共同で、日本初のプロスタグランジン製剤を開発した頃で、多様な生理作用をもつこの物質に興味を持ち、自ら希望して動きました。早石研では誰もが朝から夜中まで実験に没頭していました。研究室には風呂がついており、ハードワークが前提という雰囲気でしたね。僕も徹夜で低温室にこもって酵素のはたらきを測定し、真夜中に百万遍近くの中華料理屋で夜食をとったものです。世界に挑戦できる基礎研究の面白さに目覚め、どんどん実験にのめり込んでいきました。
プロスタグランジンを5年ほど研究し、そろそろ留学したいと早石先生に相談すると、成宮周先生がイギリス留学から戻って僕の研究を引き継ぐことになりました。プロスタグランジンは大きなテーマでしたが、留学先で同じことを続けても薬理学を学んできた成宮先生には到底叶わないだろうし、留学するなら全く違うことをした方が自身のためにもなる。もともと精神科に興味がありましたから、フランスのパスツール研究所の、ジャン・ピエール・シャンジュー先生のもとで神経科学を学びたいと手紙を書きました。ところがシャンジュー先生の提案したテーマは、早石研の隣の沼正作先生の研究室が既に取り組んでいると思われるもので、断らざるを得なかったのです。沼研の秘密を守るため、事情を話すこともできませんでした。先生は家族のためにパリの宿舎や日本語学校まで見つけてくれており、「俺の誘いを断ったのはお前が初めてだ」と随分恨まれました。その後沼先生の論文が出たことで事情は理解してもらいましたが、20年ほど絶交状態が続いたのは辛く、今でも申し訳なかったと思っています。
結局、留学先には、たまたま条件が適合したスウェーデンのカロリンスカ研究所を選びました。そのまま僕は脂質研究を生涯のテーマとしたのですが、この時沼研とシャンジュー研のテーマの競合がなければ神経科学に進んでいましたから、とても大きな分かれ道だったことになります。何が将来を決めるかは分からないものですが、留学先での新しいテーマは、その後の研究の方向性に大きく影響するからよく考えるようにと、若い人にはアドバイスしています。
医化学教室のメンバー。早石先生(前列中央左)をはじめ、中西重忠さん(前列左から3番目)、山本尚三助教授(後列左端)、沼正作教授(前列中央右)にも随分可愛がってもらった(本人:後列左から4番目)。
医化学教室の助手時代、比良山にて。この頃は先輩の吉本谷博氏(左端:金沢大学医学部教授)と渡部紀久子氏(左から2番目:現・東亜大学教授)らと一緒にプロスタグランジンの研究に取り組んでいた(本人:右端)。
テーマの競合から留学を諦めざるを得なかった、分子神経科学のジャン・ピエール・シャンジュー氏と、30年ぶりの再会。
早石研でのプロスタグランジン研究を引き継いだ成宮周先生(中央)と。写真はラホヤで撮影したもので、最近のもの。
体をめぐる脂質との出会い
脂質は三大栄養素の一つであり、体内では最も効率の良いエネルギー源であることはご存知でしょう。しかしそれだけではなく、細胞の内と外を仕切る細胞膜の主要な成分です。さらには細胞膜から単体で遊離し、さまざまな生理機能を調節するシグナル分子としてのはたらきもあるのです。3つ目のはたらきをもつ脂質は「生理活性脂質」と呼ばれ、ステロイドやイノシトールリン脂質、僕が研究してきたプロスタグランジン、ロイコトリエンなどが知られています。留学先に選んだカロリンスカ研究所は、1935年に世界で初めてプロスタグランジンを発見した伝統ある研究機関です。当時は新たな生理活性脂質であるロイコトリエンの発見と、それがアレルギー反応に関わることが明らかになったことで興奮に包まれていました。
脂質は化学構造が複雑な上、水酸基の向きなどわずかな立体構造の差で性質が大きく変わります。さらに生理活性脂質はホルモンのように体内に常にあるわけではなく、必要なときに必要な場所でつくられ、役目を終えるとすぐに分解されてしまうため追跡しにくいという難点がありました。そこで僕らはまず、ロイコトリエンがどのような化学構造をしており、どのような酵素によってつくられるのかを明らかにすることを目指しました。早石研で身につけた技術のお陰で、サムエルソンベンクト・インゲマル・サムエルソン(1934-)スウェーデンの生化学者。カロリンスカ研究所で行ったプロスタグランジン類の発見と研究の功績で、1982年にノーベル生理学・医学賞を受賞した。の教室でタンパクを扱える初めての人材として歓迎してもらえたのは幸いでした。僕が彼らに酵素学を教え、代わりに彼らから脂質の化学分析を教わるという関係で、独立した研究者のポジションが得られたのです。ロイコトリエン生合成の鍵となる酵素5-LOX(アラキドン酸-5-リポキシゲナーぜ)やLTA4H(ロイコトリエンA4水解酵素)の発見や単離など、重要な業績を挙げることができました。
留学中、大阪医大に異動した早石先生が新しい研究室に戻ってこないかと手紙をくださったのですが、早石先生からはもう独立すべきだと考えました。しかし海外でいくら論文を書いても日本では誰にも気づいてもらえず、帰国後のポジションを自力で探すべく、信州大学や山梨大学、群馬大学など、登れる山があってポジションの空いていそうな大学に手紙を書き続けましたね。結局、噂を聞きつけた東大の脊山洋右先生が栄養学教室の助教授として呼んでくれ、10年ぶりに故郷へ戻ることになりました。
カロリンスカ研究所にいたのは2年だけだったのですが、家族とともに異文化に触れられたのが何よりの思い出です。スウェーデンは治安が良く福祉が行き届いている上、外国人にとても親切で、例えば小学校では移民や難民も含め、どの国の子どもにも、週に1回は母国語の先生を呼んで、祖国の言葉を忘れないようにしてくれます。妻と娘たちがこの国をすっかり気に入ってしまい、東京に帰る際に家族会議をしたところ、3対1で僕だけ先に日本に帰ることになったのは少し寂しかったですけれど。

ノーベル委員会によるノーベル医学生理学賞の発表会見。カロリンスカ研究所に留学した最初の年に、プロスタグランジンの発見とその研究の功績により、同所のサムエルソン教授とベルイストレーム教授が、イギリスのベイン博士と共同受賞した。
サムエルソン教授のノーベル賞授賞式へ出席。隣は当時客員研究員だったチャール・サーハン教授(現・ハーバード大医学部教授)。30年以上になる親交が続いている。
留学から15年後にカロリンスカ研究所を再訪した際、サムエルソン教授と。
スウェーデン最高峰のケブネカイセ(2,106m)登山の一コマ。留学中は研究の合間に北欧の自然も楽しんだ。
分子生物学の助けを借りて
僕には研究を始めた当初から、疾患の原因解明や治療につながる研究がしたいという思いがありました。生理活性脂質は、白血球を炎症部位に呼び集めたり気管支を収縮させたり、痛みを伝達したりと多様な生理作用があることがわかってきましたから、次はこれらの作用を受ける側の細胞の性質を明らかにしようと思いました。それにはまず生理活性脂質の受容体の構造を明らかにする必要があります。細胞膜に埋まった受容体は量も少ないですし、細胞質に存在する酵素と違って、可溶化精製が難しく、これまでの手法が使えません。飛び道具として取り入れたのが新しい分子生物学の技術で、早石研時代に可愛がってもらった先輩の中西重忠先生に、遺伝子クローニングクローニング遺伝子など特定のDNA配列を単離することを指す。を教わりに行きました。中西研の若手の先生たちが、大腸菌を使って遺伝子を増やし、候補となる遺伝子をアフリカツメガエルの卵母細胞で人為的にはたらかせ、細胞膜上に受容体を発現させるという方法を丁寧に教えてくれ、助かりましたね。東大に借金をしてアフリカツメガエルの飼育を始めました。さらに受容体の活性を測定するための電気生理実験は、たまたま東大の研究室の上の階で、ホヤの電気生理を研究していた高橋國太郎先生や岡戸晴生先生にお願いしました。「カエルの卵はホヤよりはるかに大きいからお手の物です」と快く協力してくれたのは幸いでした。
当時は遺伝子クローニングの競争時代で、神経科学の分野では中西先生や新潟大の三品昌美先生が、神経伝達物質の受容体の遺伝子の特定に全力で取り組んでいました。脂質の受容体についても、僕らの他にカロリンスカ研究所やハーバード大学のグループが追っていたはずです。幸運にも僕たちがいち早く、生理活性脂質の一つであるPAF(血小板活性化因子)の受容体の構造を突き止め、1991年1月号の『Nature』に発表できました。脂質の受容体が、ホルモンなどが結合するのと同じタイプの7回膜貫通型受容体であることを示した世界初の成果です。発表の知らせはロイター電で世界をかけめぐり、アメリカのNIHから電話インタビューを依頼されるほどの反響でした。またその1ヶ月後、成宮先生のグループが、プロスタグランジンの一種、トロンボキサンの受容体の構造を明らかにして、同じく『Nature』に報告しました。2017年にPAF受容体の拮抗薬が抗アレルギー剤として開発され、世界80カ国以上で処方されています。
『Nature』に論文を投稿する際、クローニングなどを教えてくれた中西先生や高橋先生にも共著者になってほしいと声をかけたところ、「私は方法を教えただけだからいいよ」と言いながら、良い成果が出たことをとても喜んでくれたのを覚えています。日進月歩だった分子生物学や電気生理学の最新技術を親切に教えてくれた中西先生や、高橋先生の人柄に助けられました。
中西先生や高橋先生に手法を教わりながらつくった、アフリカツメガエル卵母細胞の電気生理解析装置。この装置でPAF受容体のクローニングに成功した。
お世話になった脊山教授(左から2番目)の退職記念パーティにて。
屋上でのバーベキュー大会。研究室の親睦を深めるため、教授になった1991年以来、毎年続けている。
生理活性脂質と疾患を結ぶ
生理活性脂質は体内のあらゆる場所でつくられますが、その源泉は体内に豊富に存在する細胞膜です。僕たちは受容体の研究と並行して、細胞の脂質膜から、生理活性脂質の原料となる脂肪酸を切り出す一群の酵素、PLA2(ホスフォリパーゼA2)の研究を開始しました。これは生理活性脂質の生合成の出発点となる酵素で、脂質膜からアラキドン酸という脂肪酸を切り出します。切り出されたアラキドン酸は種々の酵素の作用を受けて、プロスタグランジンやロイコトリエン、リポキシンなどの多様な生理活性脂質になるのです。実はPLA2はさまざまな細胞の中に常に存在していて、細胞外からシグナルを受けてカルシウムイオン濃度が増大すると突然動き出します。そしてオルガネラの脂質膜にぶつかるとアラキドン酸を切り出すという、ダイナミックなはたらきをすることがわかりました。
疾患のモデルマウスでPLA2を欠損させたところ、関節リウマチ、多発性硬化症、気管支喘息、脳梗塞、COPD(Chronic Obstructive Pulmonary Disease:慢性閉塞性肺疾患)など、さまざまな疾患の症状が見事に軽減したのには驚きましたね。その中には、研修医時代に治せないと悩んだ肺線維症も含まれていました。いま製薬会社と協力してこの酵素の阻害剤の開発を始めており、まだ完全には成功していませんが、線維化のメカニズムやそれを防ぐ方法が少しずつ明らかになってきています。生理活性脂質は免疫反応や神経伝達の調節に不可欠であり、その作用がさまざまな疾患に結びつくのです。脂質の役割の広さに驚嘆しましたし、たまたま進んだ脂質研究が疾患につながった幸運に感謝しています。
PLA2によって脂質膜から切り出されたアラキドン酸(真中のピンク色背景の部分)は、さまざまな生理活性脂質に姿を変えていく。
2000年に、日本で2人目のエルンスト・シェーリング賞を受賞した際、日本初の受賞者である西塚泰美先生からお祝いのお手紙をいただいた。西塚先生はプロテインキナーゼCを発見し、この酵素を軸とした細胞内情報伝達機構を明らかにした。
趣味の登山を兼ね、毎年夏は学生と共に穂高連峰にある東大医学部の診療所でボランティアをしてきた。(本人:前列左から2番目)
日本の脂質研究の上に
生理活性脂質の受容体が明らかになり、脂質研究は世界的な競争に突入しましたが、最初に受容体を特定したのが僕と成宮先生だったことで、日本の脂質研究者は励まされ、活気づいたと思います。僕らは次いで1997年に、サブトラクション・クローニング法により、ロイコトリエンの受容体の遺伝子とその構造を初めて明らかにし、その頃成宮先生はプロスタグランジンのほとんどの受容体について同じ成果を出されました。さらに東北大学の青木淳賢先生がリゾリン脂質の受容体を、帝京大学の和久敬蔵先生が内因性カンナビノイドの構造を明らかにするなど、90年代は日本人が生理活性脂質の研究を牽引していったのです。ただ、PAF受容体やロイコトリエン受容体のクローニングがNatureに出たときに、真っ先に駆けつけてきたのは海外の製薬会社でした。日本の製薬はこの頃から機動性が落ちていたように感じます。

僕はよく学生たちに、「ケミストリーのないバイオロジーは危うい、バイオロジーのないケミストリーは虚しい」と半分冗談で言うのですが、脂質の研究では、生物学と化学がしっかり結びつくことが不可欠です。タンパク質である酵素や受容体の研究ならば、それらをコードする遺伝子の配列からその性質が予測できますが、脂質研究はそうはいきません。その性質を知るにはまず脂質を単離し、質量分析計(MS)で構造を決め、さらに核磁気共鳴装置(NMR)でその立体配置を決める作業が必要です。実はこうした手間のかかる化学分析が日本人に合っていたのか、日本では伝統的に脂質の化学が進んでいるのです。戦後すぐの時代から、北大の安田守雄先生が脂質を栄養学的に研究していましたし、東大医学部で糖脂質を研究してきた山川民夫先生や、リン脂質研究の薬学部の野島庄七先生、コレステロールの健康リスクにいち早く着目してスタチンを発見した遠藤章先生など、多くの先駆者がいます。実は京大の沼先生も神経科学に移る前は、脂質合成酵素の研究をしていました。世界的に有名な成果は、岩手医科大学の藤原哲郎先生の「サーファクタント脂質補充療法」です。妊娠34週以前に生まれる低体重出生児は、肺の表面を覆うサーファクタントというリン脂質ができず肺がしぼみやすいので、かつては世界で年間30万人ほどが呼吸困難で亡くなっていました。藤原先生は1979年に、オーストラリアの牛の肺から採取したリン脂質を、赤ちゃんの気道に注入する最初の臨床試験を秋田医科大学で行い、今や世界中の赤ちゃんがこの技術で救われています。このように画期的かつ丹念な化学分析に基づく脂質研究が、日本では各地で積み上げられていました。僕たちが遺伝子クローニングやゲノム科学など、新たな分子生物学の手法を脂質研究に取り入れられたのは、この土台があってのことだと実感します。日本の脂質の研究者は互いによくコミュニケーションをとり、ぶつからないように協力し合うのが上手だと思いますね。海外の研究者が「日本の研究者は、どうしてそんなにうまく協力できるんだい?」と羨ましがります。僕と成宮先生がそうであったように、みんな少しずつ違うテーマに取り組み、お互いの領域を侵すことなく自分の独自の世界をつくるのが得意なのです。研究者の人間性の上に新旧の研究がうまく結びついて、今の日本の脂質研究があるのだと思っています。
1988年のプロスタグランジン・ロイコトリエン学会にて、日本の脂質研究者たちと。左から本人、和泉孝志教授(群馬大学)、本田善一郎教授(お茶の水女子大学)、三木一郎博士(協和発酵キリン)。
2012年のプロスタグランジン・ロイコトリエン学会後に、ローマにて。中村元直准教授(現・岡山理科大学教授)と。
アメリカ生化学・分子生物学会が発行する学術誌『The journal of biological chemistry (JBC)』の編集委員を18年務めた。日本人は元より、米国研究者でもこれほど長期間務めた例は数少ないと、同学会から表彰された。
膜の多様性に眼を向けて
どんな研究者にも、限られた時間の中で、自分が本当に大切だと思う研究がしたいと考える時期が来ると思うのですが、僕の場合はそれが2003年でした。ヒトゲノム解読の成果が発表された年であり、僕自身の教授としての残り時間が10年となった年なのです。ヒトゲノム解読により、多くの研究者がゲノムやプロテオーム、つまりゲノムがコードするタンパク質に注目する中、僕は遺伝子からは直接その性質を知ることができない、さまざまな代謝物の情報が今後重要になるだろうと考えていました。そして、それら代謝物の総体「メタボローム」を網羅的に測定できるシステムをつくる研究室「メタボローム講座」を立ち上げようと思いました。
このように考えたきっかけは、生理活性脂質の源である脂質膜への興味でした。ロイコトリエンやPAFの研究が多くの成果を生んだことは確かですが、その手法はルーチン化していき、2000年頃には物足りなさを感じるようになっていたのです。「観察することから大きな発見を」という早石研で学んだ言葉を思い出しながら考えた時、脂質膜の構成分子であるリン脂質が頭に浮かびました。リン脂質では必ず1位に飽和脂肪酸、2位にアラキドン酸などの不飽和脂肪酸が結合しています。「決まってアラキドン酸が2位なのは何故なのだろう」と考え始め、その非対称な形への興味が膨らんでいきました。生体を構成する脂肪酸は2-30種、それらが組み合わされた膜のリン脂質は千種類以上も存在するのです。この非対称性や脂質膜の多様性はどのように生み出され、そこにどのような意味があるのだろう。これを探ることは生命を知る上で本質的な問題ではないかと思ったわけです。
講座の立ち上げを決意し、まず経産省やNEDO、JST、文科省など国の機関に援助を頼みに行きましたが、当時は「メタボローム」といっても意味すら分かってもらえず、誰も見向きもしてくれません。その時、京大時代からお付き合いのあった小野薬品と島津製作所に寄付講座「リピドミクス講座」をつくってもらうことができ、両企業と共同で、解析の難しい脂質を一挙に解析する技術を開発しました。この取り組みは当時、日経バイオに「日本で最初のメタボローム講座」として紹介されました。
東京大学医学部 150 周年記念式典で、医学部長として皇太子殿下をお出迎え(清水孝雄教授退職記念誌より)。
東大医学部150年記念式典の企画を担当した際、東大文学部出身の大江健三郎先生に講演をお願いした。その際いただいたサイン入りの本。知識人は権力にどう向き合うべきかを問う、サイードの言葉が書かれている。
細胞膜の構成要素、リン脂質の構造。グリセロールリン脂質の1位に飽和脂肪酸が、2位に不飽和脂肪酸が結合し、非対称な立体構造をとる。
2011年のイタリアの国際学会では、海外の研究者から3.11に対する寄せ書きをいただいた。
医学部の授業、「生理活性脂質I、II」の講義風景。
還暦のお祝い。研究室のメンバーが、「TS」と書いたお揃いのキャップ(左上)をつくってくれた。
テニスは高校時代から始めた。2014年、首都圏医師テニス大会(壮年組)で優勝V3。
脂質から「生きている」とはなにかを探る
新たに開発した技術で膜のリン脂質を解析すると、細胞膜を構成する脂肪酸のはたらきの一つ一つが見えてきました。この技術を用いて発見した脂質の生合成酵素の一つであるLPCAT3 のはたらきを抑えた新生仔マウスは、母乳が小腸ひだの上皮細胞に滞留してしまい、リポタンパクとして体内に吸収できないことがわかりました。膜の脂質は単にプロスタグランディンなどの生理活性脂質になるだけではなく、脂質膜の中にいる間には別の機能を持っており、小腸の細胞では栄養吸収に重要な役割を果たしているということでしょう。
また、魚に多く含まれることで知られる脂肪酸、DHAを膜に取り込む酵素を発見し、これを欠損したマウスをつくるとオスが不妊になることを見つけました。DHAは精巣に多く含まれており、DHAが不足すると生殖機能に異常が出ることは知られていましたが、その分子機構がわかり始めたのです。またこの酵素の欠損で網膜変性も起きます。網膜にもDHAが非常にたくさん含まれていることから、おそらくDHAの持つ柔軟な膜構造が、視細胞の構造を保つのに重要なのではないかと考えているのですが、まだはっきりしていません。今、膜の化学的性質だけでなく、硬さや流動性などの物理的性質も見ていこうとしているところです。
生体を構成するリン脂質は千種類以上と言いましたが、脂質合成に関わる酵素はゲノム上に20種ほどしかなく、数千の多様性を作り出すには全く足りないことがわかりました。一種類の酵素がいくつかの脂肪酸を異なる親和性で認識する「多対多」の関係があるとしか考えられません。この関係を解きほぐし、脂質の多様性を生命現象に結びつけていくことが、今の僕の夢です。研究者としては今が一番楽しく、まだまだやめられないと思っています。
島津製作所と共同で新たに開発した、脂質の分析機器の前で。
メタボローム研究をと発案した新しい研究室は、2011年に「リピドミクス社会連携講座」として実現した。講座の首脳たちと。左から後任教授の小田吉哉氏、夏目徹氏(産業総合研究所)、本人、飯田順子氏(島津製作所)。
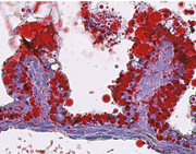
脂質の生合成酵素の一つLPCAT3 の働きを抑えた新生仔マウスは、母乳が小腸のひだ(写真: 赤)に滞留し吸収されない。(出典:Hashidate-Yoshida et al. eLife 2015;4:e06328.より)
マウス網膜の視細胞の比較。正常なマウスの視細胞(左)と比べ、DHAが欠損した視細胞(右)は形が崩れていることがわかった。DHAは脂質膜の柔らかさに影響を与える脂肪酸だが、細胞の形の維持に重要な役割を果たしているようだ。(出典:Docosahexaenoic acid preserves visual function by maintaining correct disc morphology in retinal photoreceptor cells. Shindou et al. (2017) J. Biol. Chem. ;292 (29)より)
マウス精子の比較。正常なマウスの精子(左)に比べ、DHAが欠損した精子(右)は頭部に余分な物質が付着し、先端が折れ曲がっている。膜の性質の変化を介した精子の変化が、不妊につながるようだ。(出典:Lysophosphatidic acid acyltransferase 3 tunes the membrane status of germ cells by incorporating docosahexaenoic acid during spermatogenesis. Iizuka-Hishikawa et al. (2017) J. Biol. Chem. ;292 (29)より)
志は高く、姿勢は低く
僕は「飲水思源」という言葉が好きです。水を飲むときは常にその源を思いなさいという意味です。今の研究環境は誰かの支えで成り立つものであり、さらに自分自身は産んでくれた両親や友人あってのものであることを忘れないようにと、若い人にはよく言います。また実験室に篭っていても息が詰まるだけだから、気分転換にスポーツなどをすることも大切だよというアドバイスもします。互いの人間性を大切に、心を開いてその時々に全力を尽くせば、人間も事柄も全てが繋がってくると信じています。

アメリカで行われた脂質メディエーター(生理活性脂質)のシンポジウムの組織委員を務めた際、その貢献を賞してアラキドン酸をかたどったトロフィーをいただいた。世界に1点しかないオリジナル作品。
東大の退職記念式典。同年に退職した岡山博人先生(後列左)、三品昌美先生(後列右)は、京大医化学教室(早石研・沼研)の出身。お祝いに駆けつけてくれた早石先生を囲んで。
現在のメインの研究室、国立国際医療研究センターのプロジェクトの立ち上げメンバー。東大を退職後にこのような場を与えてもらったことに感謝している。
もうすぐ金婚式になるかもしれない。研究と家族を支えてくれた家内に感謝。




































